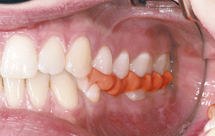
StoneBite is a professional‑grade bite registration silicone elastomer designed for dental applications where accurate recording of a patient’s occlusion (bite) is essential. It is an addition‑curing (vinyl polysiloxane) material formulated to deliver high dimensional stability, minimal deformation, and extremely high final hardness (approx. 48 Shore D), providing a rigid, precise occlusal record that can be cut, milled, or processed without distortion.
Supplied typically in 1:1 double cartridges (e.g., 2 × 50 ml) with mixing and application tips, StoneBite is easy to dispense and mix, allowing for clean application onto occlusal surfaces. Once placed between the dental arches, it sets quickly — with a working time (~30 seconds) and a total intra‑oral set of about 80 seconds — enabling efficient clinical workflows. Due to its high hardness and dimensional stability, StoneBite is ideal not only for conventional occlusal bite registrations but also for creating registration keys and support pin records used in prosthodontics and dental laboratory processes.

Reviews
Clear filtersThere are no reviews yet.